#7 MIFL, #8 MIFL, #9 MIDFL, #10 DL


#6 MF, #7 MDF, #8 DF, #9 DF, #10 MDF, and #11 MF


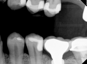
#20 DO


#19 DO and #18 MO


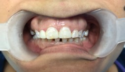
#8 e.max crown


Emergency Visit #6 MIFL, #8 MIDFL, #9 MIFL


*Extraction & bone graft planned for #7 future implant
Saving teeth. Saving smiles.
#7 MIFL, #8 MIFL, #9 MIDFL, #10 DL


#6 MF, #7 MDF, #8 DF, #9 DF, #10 MDF, and #11 MF


#20 DO


#19 DO and #18 MO


#8 e.max crown


Emergency Visit #6 MIFL, #8 MIDFL, #9 MIFL


*Extraction & bone graft planned for #7 future implant