

Dx: Pulpal Necrosis with SAP


Dx: Previously Treated with CAA


#18 NS-RCT
Dx: Asymptomatic Irreversible Pulpitis with NAT


Dx: SIP with SAP


Dx: Previously Treated with SAP


Dx: SIP with SAP


Dx: Pulpal Necrosis with SAP


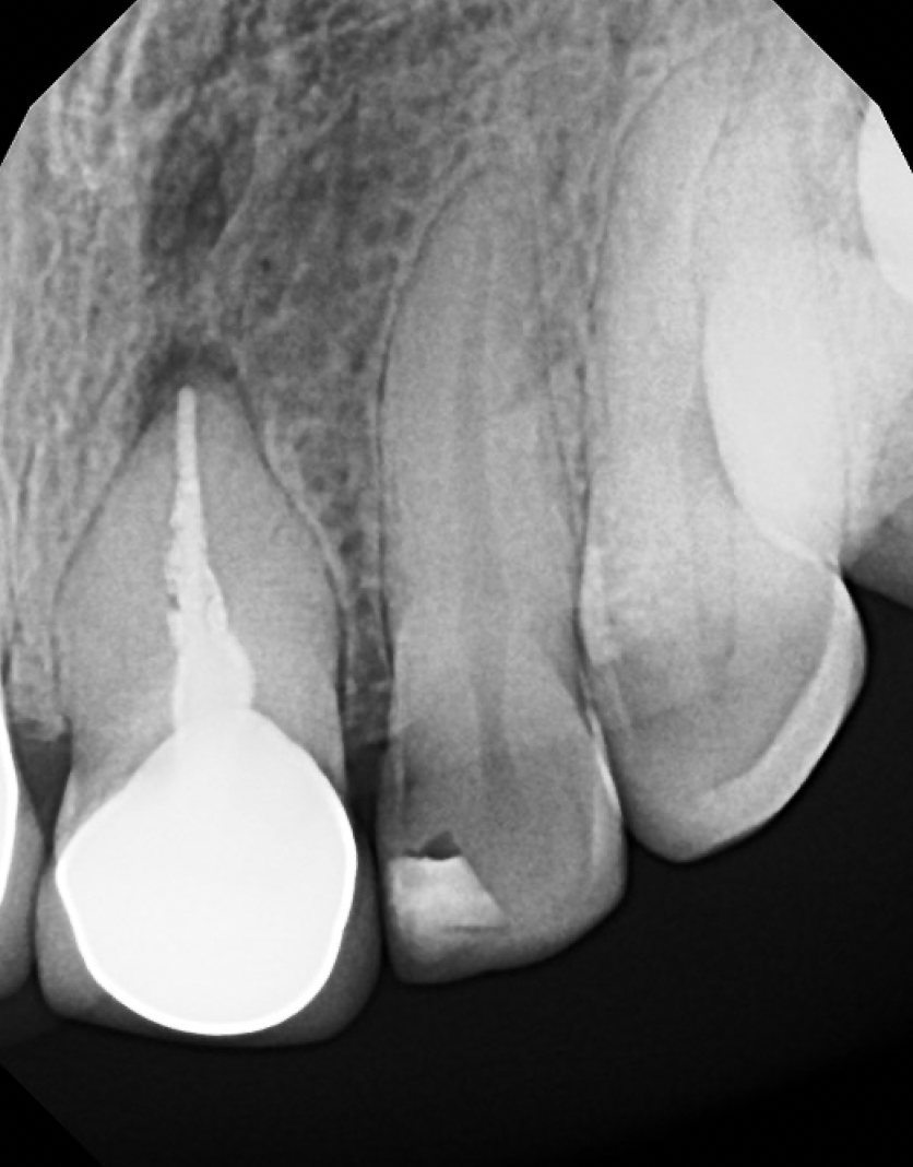
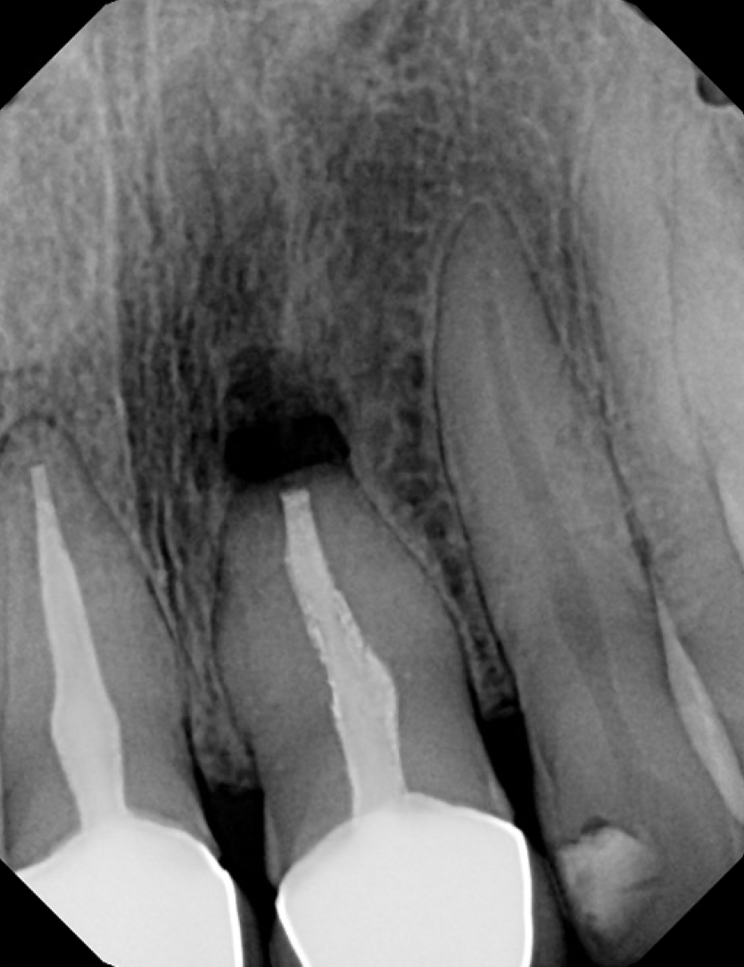
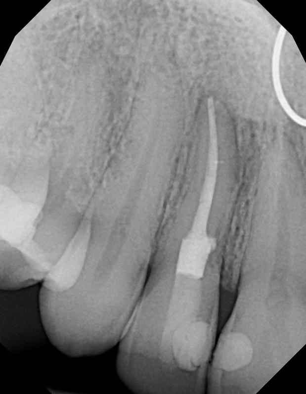
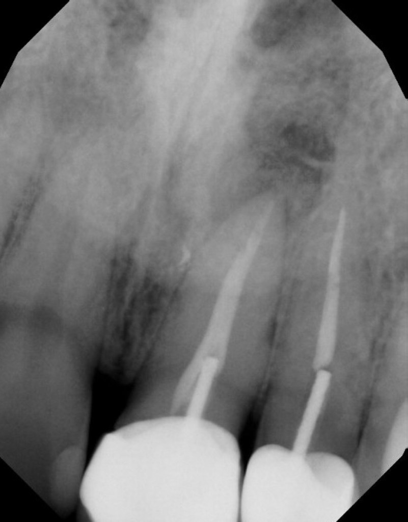
#9 S-RCT
Dx: Previously Treated with SAP


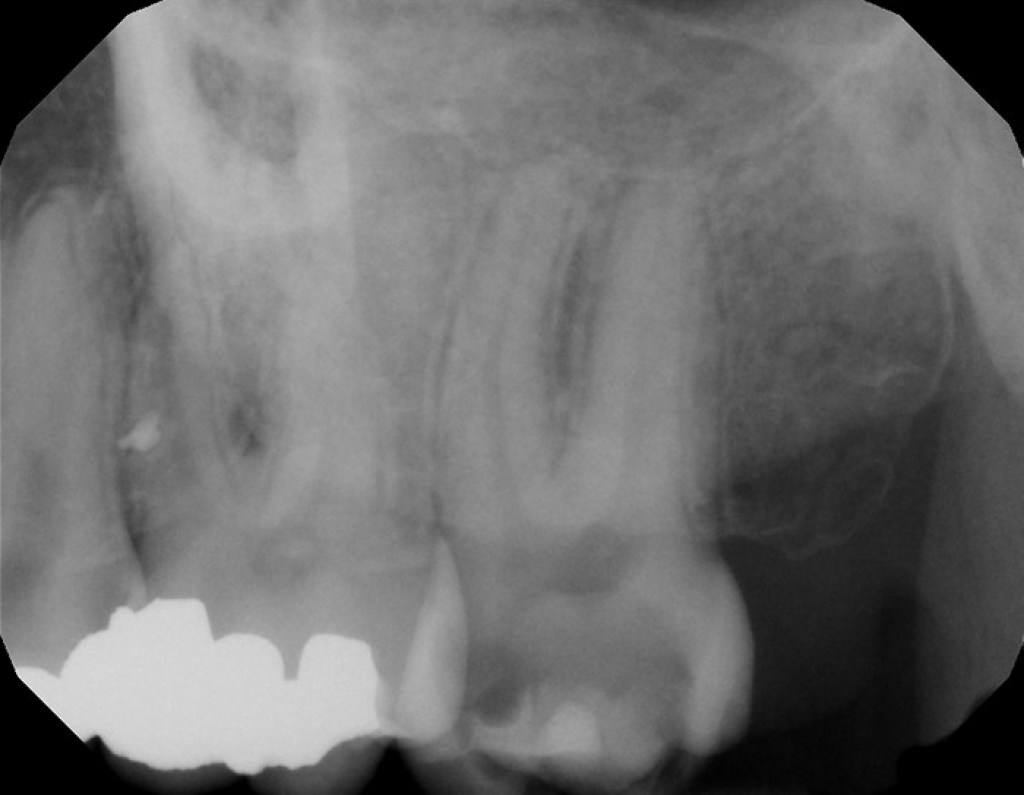
#14 MB root amp with GTR
Dx: Previously Treated with CAA



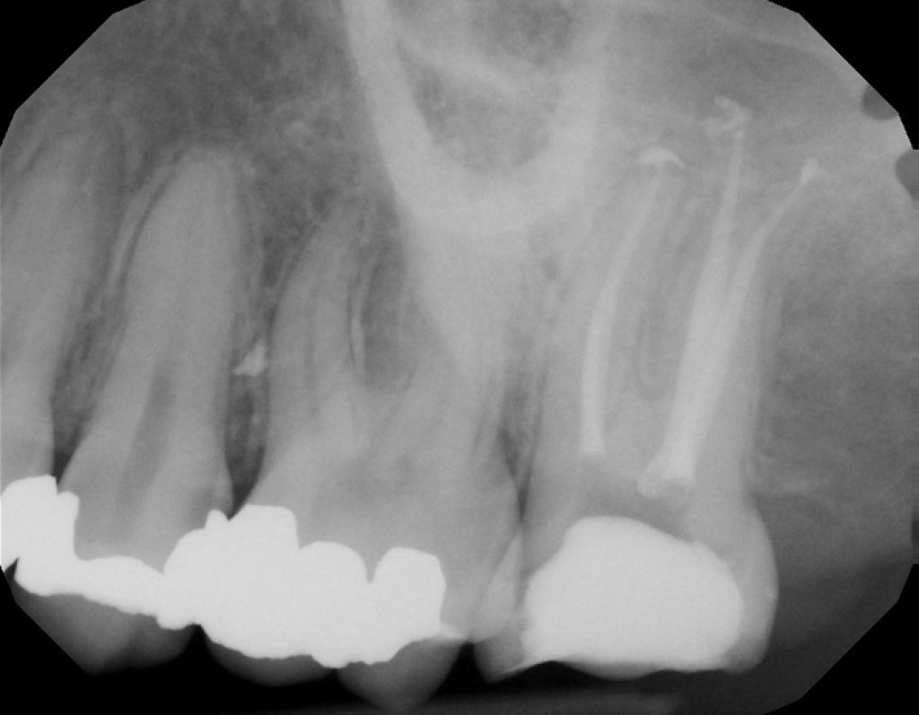
#24 S-RCT
Dx: Previously Treated with AAP



#19 NS-RCT
Dx: Previously Initiated with SAP




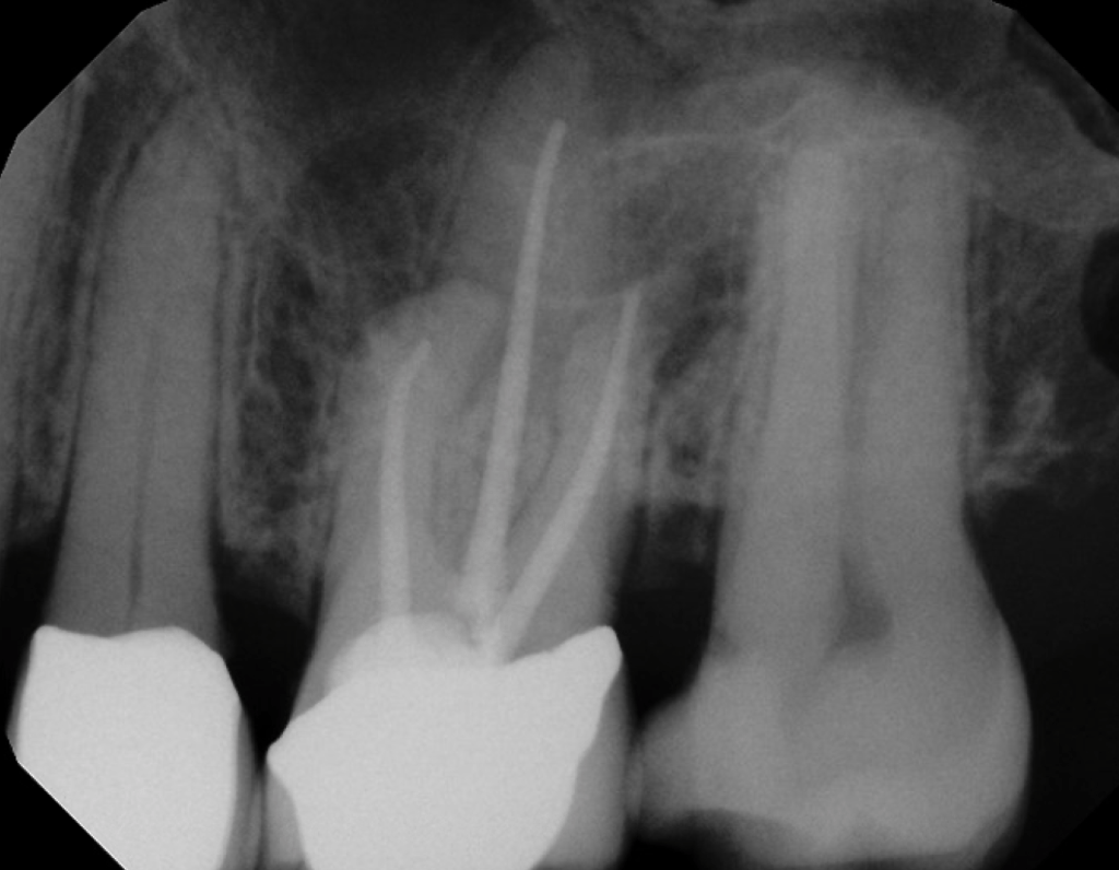
#9 S-RCT
Dx: Previously Treated with CAA




#14 S-RCT (buccal approach for all roots)
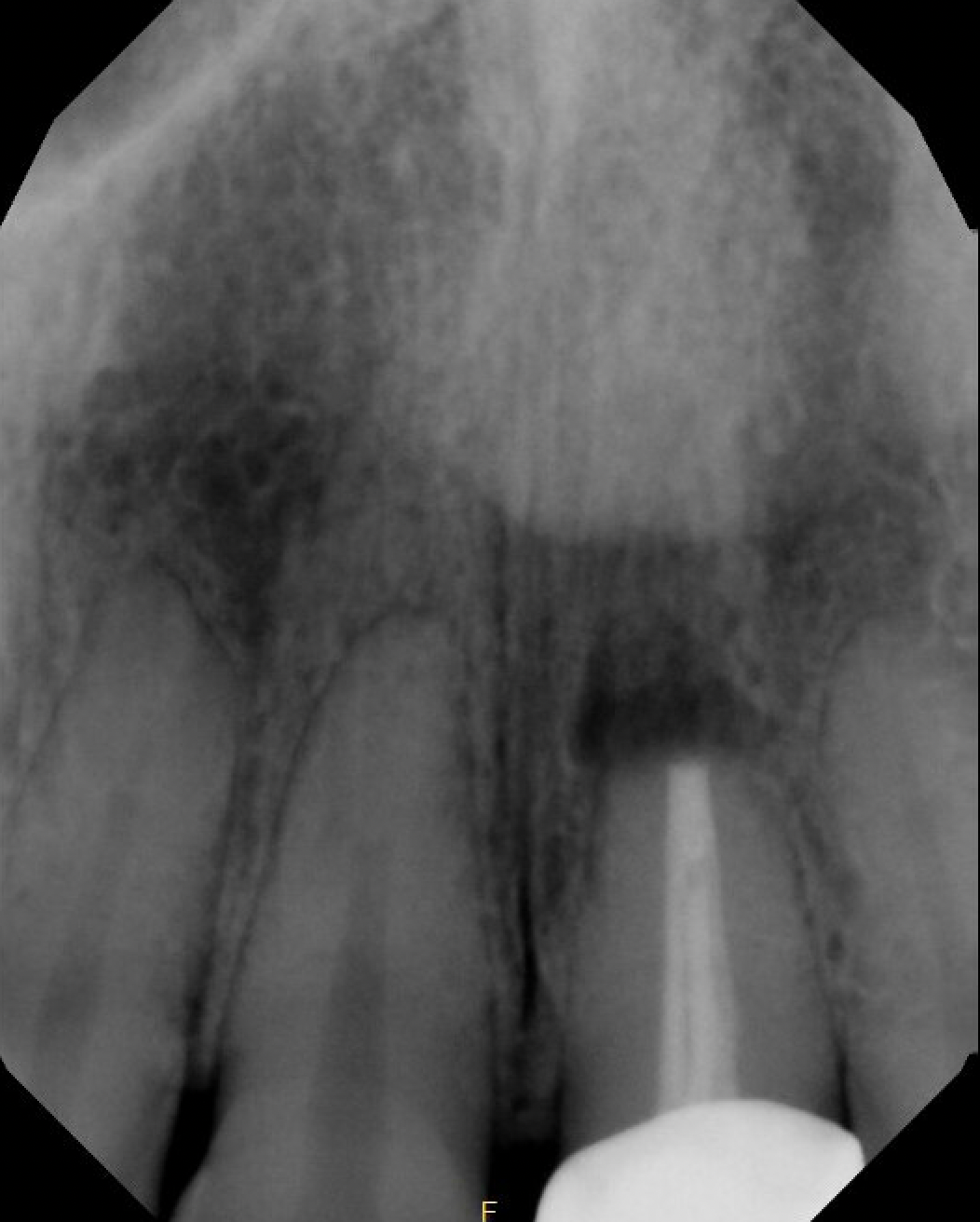
Dx: Previously Treated with SAP


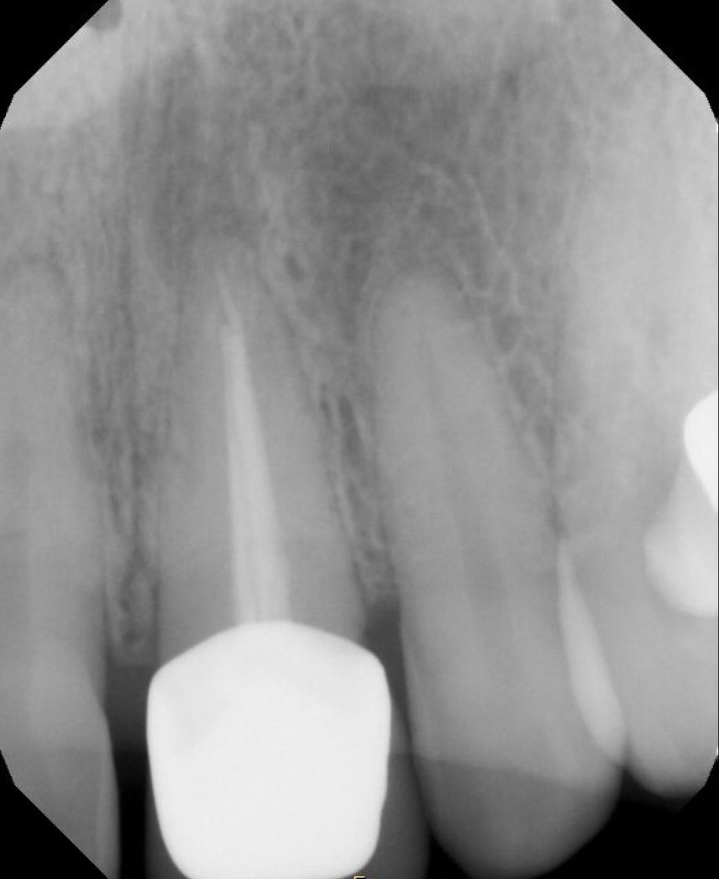
#7 NS-RCT (with SI retrieval)
Dx: Previously Initiated with CAA


#21 NS-RCT
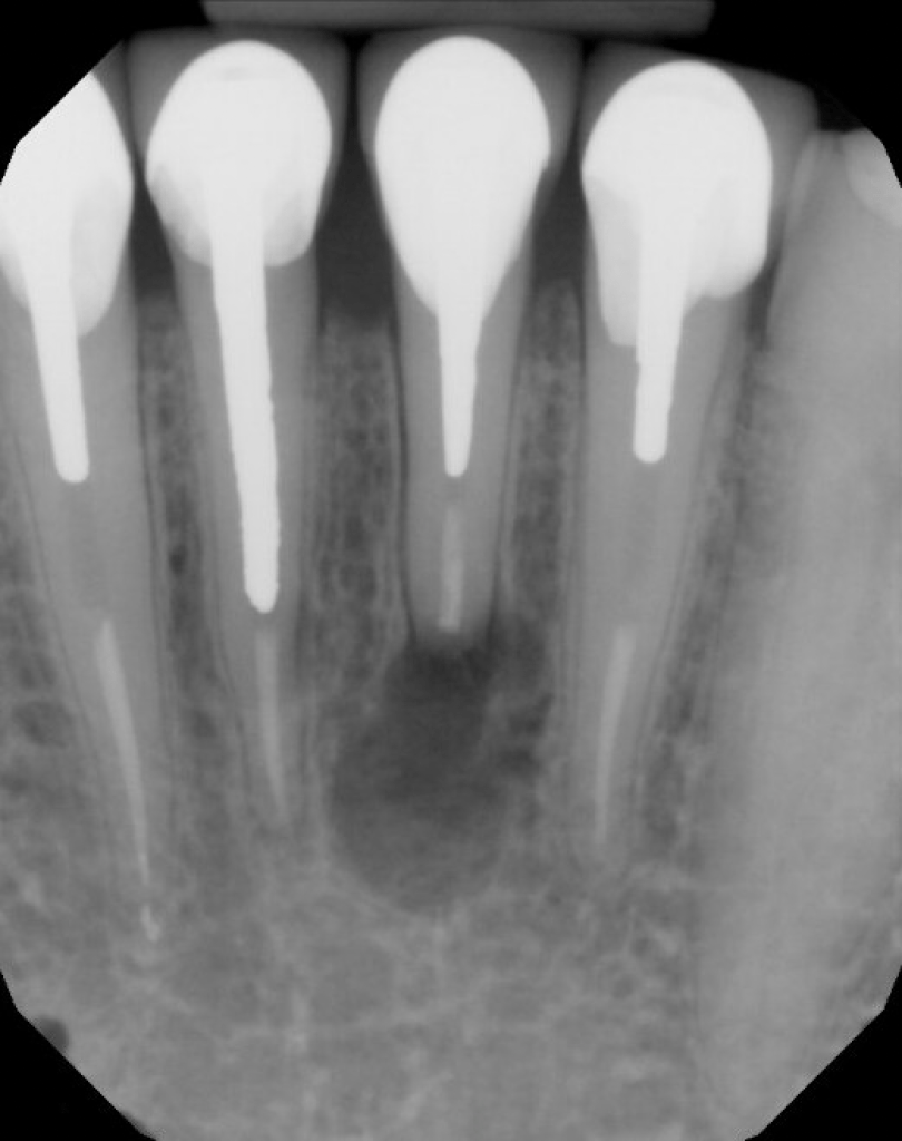
Dx: Pulpal Necrosis with SAP


#10 S-RCT
Dx: Previously Treated with CAA


#31 NS-RCT
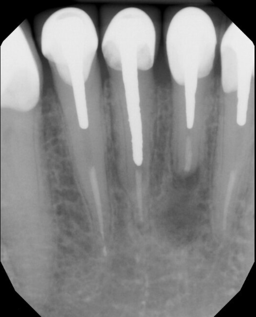
Dx: Asymptomatic Irreversible Pulpitis with NAT


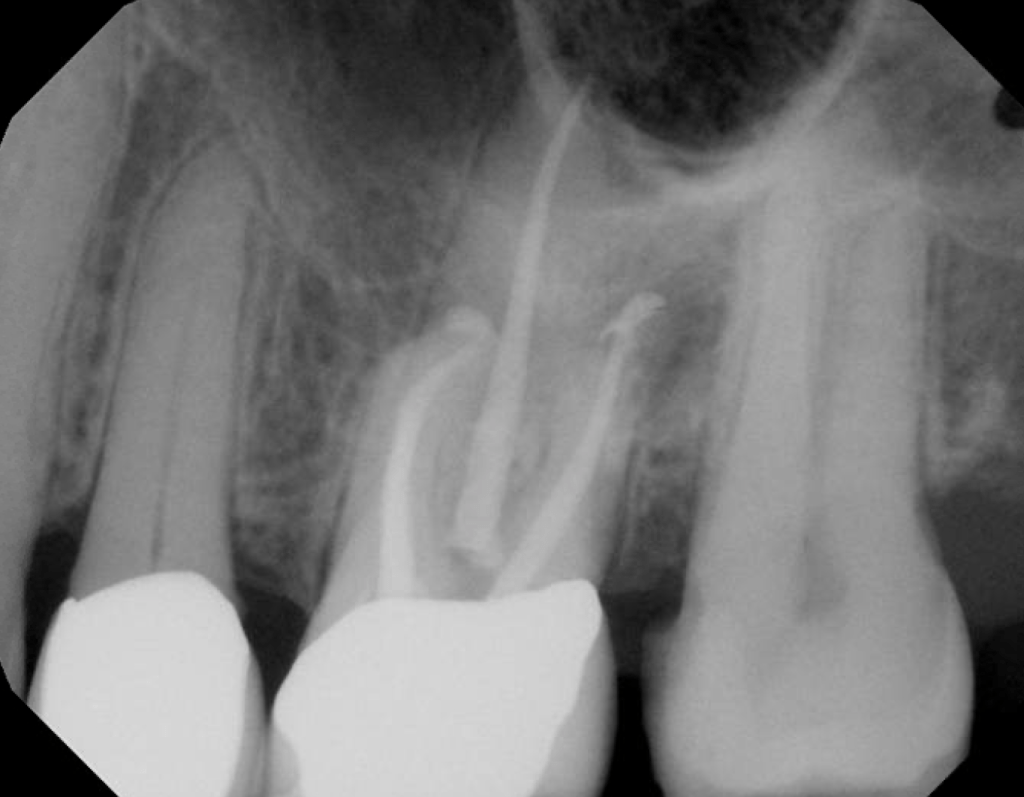
#3 S-RCT
Dx: Previously Treated with SAP




#30 NS-ReTx
Dx: Previously Treated with SAP





#9 S-RCT
Dx: Previously Treated with CAA